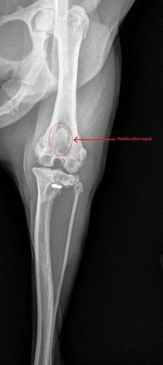
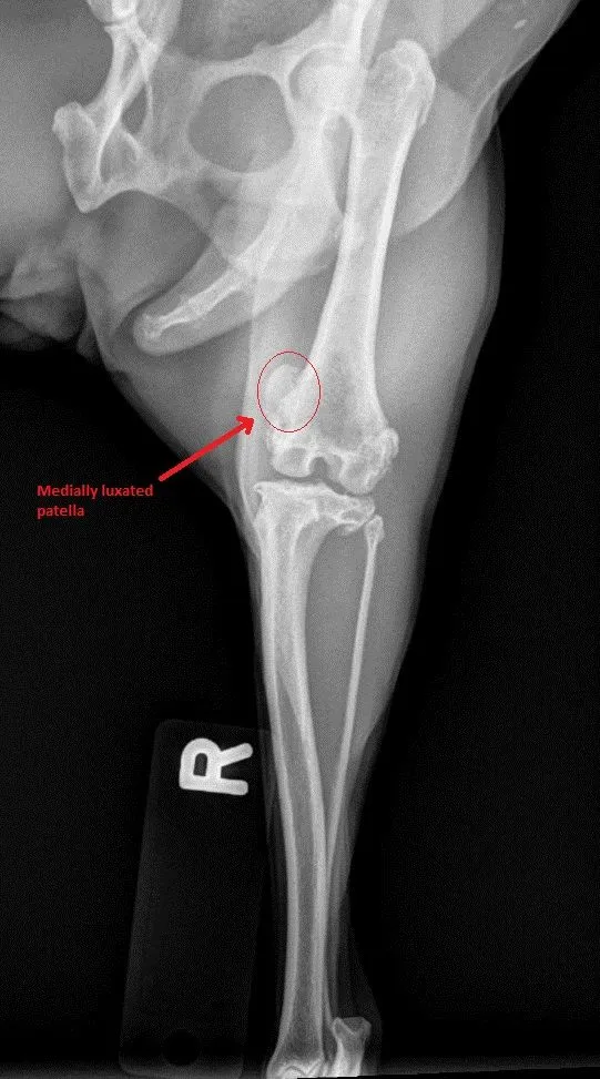
Patellar Luxation aka Luxating Knee caps most commonly seen in Toy breeds where knee cap is most commonly luxation to medial (inner side of knee joint) side resulting bowing of rear limb/limbs ,unstable knee prone to ACL inury and Chronic Arthritis. Surgical correction usually help to stabilize knee, reduce pain and slow down arthritis progression.